重度の歯周病 - 歯周病の症状
重度の歯周病の症状について説明しています。大きく骨が失われけ、もはやしっかりと噛めません。早急な治療が必要です。
⇒ 重度歯周病の治療法
重度の歯周病

重度になるとさらに状況は悪くなります。歯を支えている骨は三分の二以上が溶けて、歯周ポケットは非常に深くなり、歯がぐらぐらと動きだし物が食べにくくなります。
歯根に大量の歯石が付き、歯肉は下がり歯根が見えてきます。また歯肉は赤く腫れていて、歯と歯肉の境目からは膿がでてきます。
朝目覚めると口の中がねばねばし、血の味がしてくることもあります。口臭も強くなります。
歯周病で不安を抱える
全ての患者さんへ
歯周病は治ります!
まずはお気軽にご相談ください
通院を検討中の方
- Q. 歯ぐきの腫れ、出血が心配
- A. 健康な歯ぐきと歯周病の違い、進行度のチェック
- Q. 歯がぐらぐらしているが、
だましだまし過ごしてしまっている - A. ぐらぐらしていても抜歯とは限りません。
一度ご相談下さい。 - Q. 治療の痛みが怖くて、一歩を踏み出せない
- A. 無痛での治療が可能です。
例1:重度歯周病の例
一見きれいな歯肉かなと思いますが、かぶせ物と歯肉の間の隙間がたくさん空いているのがわかりますか?
これは歯を支えている骨が溶けていることをあらわしています。歯の表側はしっかり歯磨きされていますが、歯と歯の間にはプラークが歯根に付いています。
歯もグラグラしますが、かぶせ物をしてそれらが繋がっていると、歯が動いているかをご自身で自覚できないときもあります。

レントゲンで見ると、右の歯の骨が歯根の先に向かって溶けているのがわかります。

例2:重度歯周病の例
とてもよく歯磨きがしてあり、見た目は健康に見えます。しかしよく見ると、真ん中左の前歯の歯肉が赤く腫れているのがわかりますか?そしてその歯が少し長くなっています。

レントゲンを見ると、歯を支えている骨が歯根の先端あたりまで溶けているのがわかります。結果として歯がぐらぐらして来て、あたかも歯がだんだんと伸びて来るように歯肉から押し出されてきます。

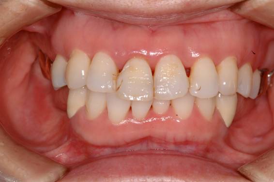
例3:重度歯周病の例
明らかに病的な見た目です。歯肉は赤くぶよぶよと腫れていて、歯と歯の間や歯と歯肉との境目にはプラークが付いていて、膿も出ている状態です。歯とかぶせ物の間には隙間があります。

骨によって支えられている部分が歯根の先端しかなく、歯根の側面はごつごつしているのがわります。これは歯根についた歯石です。

歯周病で不安を抱える
全ての患者さんへ
歯周病は治ります!
まずはお気軽にご相談ください
通院を検討中の方
- Q. 歯ぐきの腫れ、出血が心配
- A. 健康な歯ぐきと歯周病の違い、進行度のチェック
- Q. 歯がぐらぐらしているが、
だましだまし過ごしてしまっている - A. ぐらぐらしていても抜歯とは限りません。
一度ご相談下さい。 - Q. 治療の痛みが怖くて、一歩を踏み出せない
- A. 無痛での治療が可能です。
写真で見る歯周病の症状
関連ページへのリンク
正確な診断と高度な歯科治療で
あなたの大切な歯を守ります。
清水歯科医院では、歯周病のプロフェッショナルが正確な検査に基づいた専門性の高い治療をご提供します。患者様の希望に合わせて幅広い治療のプランをご提案し、無理に押し付けることは致しません。歯周病にお悩みの方や他院で抜歯と言われてしまった方も、当院にぜひご相談ください。
- 歯周病・インプラント専門医
- 丁寧なカウンセリング
- セカンドオピニオン対応
- 科学的根拠に基づいた治療
銀座医院
■電話番号 03-6263-2600
■初診受付 03-6263-2636
■住所 東京都中央区銀座1-8-7 VORT銀座DDI 4F
(Google map を開く)
■診療日 月・水・金・土
(午前 9:00〜12:30/午後 14:00〜17:30)
※土曜日は17:00まで
■休診日 火・木・日・祝日
篠崎医院
■電話番号 03-5879-7023
■初診受付 03-6263-2636
■住所 東京都江戸川区上篠崎4-27-12
(Google map を開く)
■診療日 月・火・水・金・土
(午前 9:30〜13:00/午後 14:00〜17:30)
※土曜日は9:00〜13:00/14:00〜17:00
■休診日 木・日・祝日
当院では患者様の満足度調査を実施しております。
少しでも患者さんにとってより良い⻭科医療を提供するため、
第三者機となるNPO法人 日本⻭科医療評価機構関に依頼をし、患者さんの満足度調査を行っています。
率直なご意見をいただき、改善すべき点は真摯に受け止めていきたいと思っております。
当院には患者さんの個人情報は一切伝えられませんので、是非、暖かいお言葉、お叱りのお言葉、たくさんお寄せ下さい。
NPO法人 日本⻭科医療評価機構の調査結果は、以下バナーよりご確認ください。
※日本歯科医療評価機構とは
日本⻭科医療評価機構は、ネットで⻭医者を検索してみたもののどこに行けばいいか分からない、
診療時間や場所のメリットだけではなく、本当に信頼して通える⻭医者を探したい、
そんな患者さんのために本当に信頼して通える⻭科医院を評価・認定することを目的した組織です。















