抜歯を回避する
歯周組織再生療法
歯を支えている周囲の骨などの組織を、薬剤を使って回復する再生療法について詳しく説明しています。
他医院で抜歯を勧められた患者さんも是非相談にいらして下さい。
一般の歯科医院では、行われていない歯周組織再生療法という治療法があります。歯周病が進行し、歯を支える骨が失われてしまった結果、抜歯を勧められたけれども何とかして歯を残したいという患者さんの治療を積極的に行っています。
再生療法の概要
歯周病によって失われた骨等の歯を支えている組織を回復する治療法です。失われた組織を回復するために必要な場所を作り、失われた組織を誘導する薬剤をその中に入れ、失われた骨等の組織を再生させる治療法です。
当院では、再生をするために必要な細胞を歯の根の表面にくっつけるタンパク質 — エムドゲインや再生をするために必要な細胞を増殖させる成長因子( rhPDGF ) —Gem21 といった誘導薬剤を用います。
再生療法の流れ
1. 歯周病によって骨が失われ、深い骨欠損(骨吸収)が歯の周りにあります。

2. 歯肉を一時的によけて、骨欠損部分を明確にし、さらに歯の根を徹底的にきれいにします。

3. 組織誘導薬剤を歯の周りに、注入します。

4. 歯肉を元に戻し、組織誘導薬剤を密封します。

5. 半年から1年をかけて、組織誘導薬剤が骨を再生し、患者さん自身の体の一部に変化します。
歯周病で不安を抱える
全ての患者さんへ
病院に通院中の方
- Q. 抜歯を勧められたが、
他に治療法はないんだろうか? - A. 再生療法で歯を残せる可能性があります。
- Q. 治療しているのにどんどん歯がなくなっていく・・・
大丈夫だろうか? - A. アメリカ歯周病専門医へのお早めの相談を
お勧めいたします。 - Q. 重度歯周病と診断されたが、治るんだろうか?
- A. 重度歯周病が治って安定した患者さんの治療例
通院を検討中の方
- Q. 歯ぐきの腫れ、出血が心配
- A. 健康な歯ぐきと歯周病の違い、進行度のチェック
- Q. 歯がぐらぐらしているが、
だましだまし過ごしてしまっている - A. ぐらぐらしていても抜歯とは限りません。
一度ご相談下さい。 - Q. 治療の痛みが怖くて、一歩を踏み出せない
- A. 無痛での治療が可能です。
歯周組織再生療法で抜歯をせずに済んだ治療例
治療例1
50代男性の方で歯肉の違和感を訴え来院されました。診査の結果、重度歯周病と診断され治療が開始されました。歯磨き指導、スケーリング、 SRP を行いましたが、部分的に良くならないところがあるので、同部に再生療法を行いました。
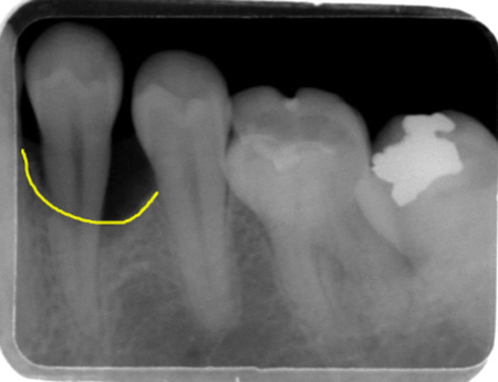
術前のレントゲン写真(写真左)のように大量に歯の周りの骨が溶けてなくなっているので、麻酔をしてから、歯肉をよけて歯の表面を徹底的にきれいにして、骨の治りを促進する薬を使いました。
術後のレントゲン写真(写真右)で失われた骨がもとに戻っているのが確認されます。初診から8ヶ月で全ての歯の改善と安定が確かめられました。




治療例2
60代の男性の方で歯周病を含めた全般的な検査と治療を希望されて来院しました。自覚症状はないのですが、レントゲン写真上で歯の周りの骨が吸収されているのがわかります。
(写真左)治療には、再生療法を選択し、Gem21 という組織再生誘導薬剤を用いました。1年後のレントゲン写真(写真右)では、骨の欠損部が新生骨によって埋められているのが確認されます。


治療例3
歯周病の症状(歯肉の腫れ、歯がグラグラ、歯肉の出血)を伴って来院されました。見た目(写真左)では、患者さんとしては、それほど悪いようには見えないのですが、診査の結果、重度の歯周病に罹患していることが判明しました。当然のことですが、患者さんは、ご自身の歯の状況を正確には把握していませんので、特に重度の歯周病患者さんの場合、始めてその状況をお伝えする時には、まさか自分かこんな状態なのかと驚き、全く話を信じていただけないことがあります。
治療において一番大事な点は、そういった患者さんの理解を手助けし、十分なコミュニケーションを取りことで、これからどう対処していくのかを患者さんと一緒に考えていくことにあります。十分な相談の結果、歯を保存する再生療法を進めることになりました。 まずは、歯磨き指導から始まる一連の初期治療を終了し、その後、再生療法を行いました。歯肉を剝離して、骨面を露出すると、右上4番の周りの骨が大量になくなっているのがわかります。(写真中央)
歯面を奇麗にした後、再生誘導薬剤を使って、この歯を取り囲み、再生誘導膜を置いた後、歯肉を戻しました。 1年後(写真右)の状態としては、患者さんも定期的に来院され、歯磨きもがんばっていらっしゃるので非常に安定しています。歯肉の腫れ、歯肉からの出血もなく良好に推移しています。
治療前 |
治療中 |
治療後 |
||
![]() |
![]() |
![]() |
治療例4
治療前 |
治療後 |
|
![]() |
![]() |
治療例5
治療前 |
治療後 |
|
![]() |
![]() |
治療例6
治療前 |
治療後 |
|
![]() |
![]() |
治療例7
治療前 |
治療後 |
|
![]() |
![]() |
治療例8
治療前 |
治療後 |
|
![]() |
![]() |
治療例9
治療前 |
治療後 |
|
![]() |
![]() |
治療例10
治療前 |
治療後 |
|
![]() |
![]() |
他医院で抜歯を勧められた方も、あきらめず一度相談にいらして下さい。
歯周組織再生療法のリスクと治療費
歯周組織再生療法によって、一時的な歯肉退縮や動揺の増加が見られる可能性があります。
歯周病で不安を抱える
全ての患者さんへ
病院に通院中の方
- Q. 抜歯を勧められたが、
他に治療法はないんだろうか? - A. 再生療法で歯を残せる可能性があります。
- Q. 治療しているのにどんどん歯がなくなっていく・・・
大丈夫だろうか? - A. アメリカ歯周病専門医へのお早めの相談を
お勧めいたします。 - Q. 重度歯周病と診断されたが、治るんだろうか?
- A. 重度歯周病が治って安定した患者さんの治療例
通院を検討中の方
- Q. 歯ぐきの腫れ、出血が心配
- A. 健康な歯ぐきと歯周病の違い、進行度のチェック
- Q. 歯がぐらぐらしているが、
だましだまし過ごしてしまっている - A. ぐらぐらしていても抜歯とは限りません。
一度ご相談下さい。 - Q. 治療の痛みが怖くて、一歩を踏み出せない
- A. 無痛での治療が可能です。
重度歯周病の治療 - 専門性の高い治療法
関連ページへのリンク
正確な診断と高度な歯科治療で
あなたの大切な歯を守ります。
清水歯科医院では、歯周病のプロフェッショナルが正確な検査に基づいた専門性の高い治療をご提供します。患者様の希望に合わせて幅広い治療のプランをご提案し、無理に押し付けることは致しません。歯周病にお悩みの方や他院で抜歯と言われてしまった方も、当院にぜひご相談ください。
- 歯周病・インプラント専門医
- 丁寧なカウンセリング
- セカンドオピニオン対応
- 科学的根拠に基づいた治療
銀座医院
■電話番号 03-6263-2600
■初診受付 03-6263-2636
■住所 東京都中央区銀座1-8-7 VORT銀座DDI 4F
(Google map を開く)
■診療日 月・水・金・土
(午前 9:00〜12:30/午後 14:00〜17:30)
※土曜日は17:00まで
■休診日 火・木・日・祝日
篠崎医院
■電話番号 03-5879-7023
■初診受付 03-6263-2636
■住所 東京都江戸川区上篠崎4-27-12
(Google map を開く)
■診療日 月・火・水・金・土
(午前 9:30〜13:00/午後 14:00〜17:30)
※土曜日は9:00〜13:00/14:00〜17:00
■休診日 木・日・祝日
当院では患者様の満足度調査を実施しております。
少しでも患者さんにとってより良い⻭科医療を提供するため、
第三者機となるNPO法人 日本⻭科医療評価機構関に依頼をし、患者さんの満足度調査を行っています。
率直なご意見をいただき、改善すべき点は真摯に受け止めていきたいと思っております。
当院には患者さんの個人情報は一切伝えられませんので、是非、暖かいお言葉、お叱りのお言葉、たくさんお寄せ下さい。
NPO法人 日本⻭科医療評価機構の調査結果は、以下バナーよりご確認ください。
※日本歯科医療評価機構とは
日本⻭科医療評価機構は、ネットで⻭医者を検索してみたもののどこに行けばいいか分からない、
診療時間や場所のメリットだけではなく、本当に信頼して通える⻭医者を探したい、
そんな患者さんのために本当に信頼して通える⻭科医院を評価・認定することを目的した組織です。

































