歯周病専門医による審美治療
歯周病専門医の技術を活かした審美治療 - 歯肉の形成(歯ぐきを美しく整える)について解説します。
歯周病専門医が得意とする審美治療
美しい歯を持つことで、美しい外見を取り戻したいと思うのは、男女を問わず人間誰しもが持つ共通の欲求でしょう。そういった要望をかなえるための治療が審美歯科治療ですが、歯周病専門医が行う審美歯科治療には、2つの特徴があります。
1. 安定性
どんなに奇麗に作られた歯でも歯周病によって土台がくずされてしまえば、後は、なくなってしまうのを待つだけになってしまいます。例え、虫歯が原因で歯を直す場合でも、必ず土台である歯肉、骨の診査、治療をしっかりする必要があります。
そして、せっかく直した歯をできるだけ長く持たせるためには、やはり、歯周病の予防ならびに治療が必須となります。ですので、そういった観点 — 生涯に渡る安定性を得る-において満足のいく治療内容が期待できます。
2. 審美性(歯肉が作る美)
アメリカの歯周病専門医の担当する仕事の内、大きな割合を占めるのは、 Plastic surgery (形成外科)です。具体的に言うと、歯周病等の病気や生まれつきの問題などで、下がってしまったり、変形してしまったりした歯肉の形態をきれいに整形し、歯だけではなく、歯肉も美しく仕上げ、歯と歯肉が調和して総合的にお口の美を作るということです。
歯肉の線を整えたり、歯肉の色を変えたり、歯肉を盛り上げたりすることで歯と歯肉が織りなす自然な形態を回復させることができます。
審美治療例
治療例1
50代女性の方で、前歯の見栄えを良くするために来院されました。診断の結果、部分的に歯周病が強く進行しており、特に前歯の歯肉がひどく腫れていました。まず、仮歯を装着し即時的に前歯の見栄えを改善した後に歯周病の治療を開始しました。
他の歯を含めた全ての歯の歯周病の治癒を確認し、健康な歯肉を取り戻した後、被せ物をしました。すべての歯の治療に要した期間は、8 ヶ月ぐらいで、歯ならびに歯肉が整った美しい口元を取り戻すことができました。


治療例2
50 代の女性の方で前歯の見栄えの改善とその他の必要な歯の治療を希望して来院されました。
歯の漂白(ブリーチング)を行い、すべての歯をより白くするのと同時に歯肉がメラニン色素の沈着で黒ずんでいたので、その改善のため、薬剤による歯肉メラニン除去を行いました。
歯肉もピンク色になり、その後、被せ物をしました。歯と歯肉両方で美しい健康的な自然な色あいを手に入れることができました。





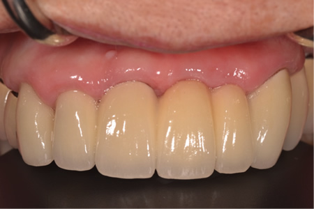
治療例3
治療前

治療後

治療例4
治療前 |
治療後 |
|
![]() |
![]() |
インプラントによる審美性・機能性の改善
関連ページへのリンク
正確な診断と高度な歯科治療で
あなたの大切な歯を守ります。
清水歯科医院では、歯周病のプロフェッショナルが正確な検査に基づいた専門性の高い治療をご提供します。患者様の希望に合わせて幅広い治療のプランをご提案し、無理に押し付けることは致しません。歯周病にお悩みの方や他院で抜歯と言われてしまった方も、当院にぜひご相談ください。
- 歯周病・インプラント専門医
- 丁寧なカウンセリング
- セカンドオピニオン対応
- 科学的根拠に基づいた治療
銀座医院
■電話番号 03-6263-2600
■初診受付 03-6263-2636
■住所 東京都中央区銀座1-8-7 VORT銀座DDI 4F
(Google map を開く)
■診療日 月・水・金・土
(午前 9:00〜12:30/午後 14:00〜17:30)
※土曜日は17:00まで
■休診日 火・木・日・祝日
篠崎医院
■電話番号 03-5879-7023
■初診受付 03-6263-2636
■住所 東京都江戸川区上篠崎4-27-12
(Google map を開く)
■診療日 月・火・水・金・土
(午前 9:30〜13:00/午後 14:00〜17:30)
※土曜日は9:00〜13:00/14:00〜17:00
■休診日 木・日・祝日
当院では患者様の満足度調査を実施しております。
少しでも患者さんにとってより良い⻭科医療を提供するため、
第三者機となるNPO法人 日本⻭科医療評価機構関に依頼をし、患者さんの満足度調査を行っています。
率直なご意見をいただき、改善すべき点は真摯に受け止めていきたいと思っております。
当院には患者さんの個人情報は一切伝えられませんので、是非、暖かいお言葉、お叱りのお言葉、たくさんお寄せ下さい。
NPO法人 日本⻭科医療評価機構の調査結果は、以下バナーよりご確認ください。
※日本歯科医療評価機構とは
日本⻭科医療評価機構は、ネットで⻭医者を検索してみたもののどこに行けばいいか分からない、
診療時間や場所のメリットだけではなく、本当に信頼して通える⻭医者を探したい、
そんな患者さんのために本当に信頼して通える⻭科医院を評価・認定することを目的した組織です。


















