
症例集
下の前歯から出血する
【歯周組織再生療法】
- 担当医
- 清水 宏康先生
- 主訴
- 下の前歯から出血する
- 期間
- 再生療法から再評価まで6か月
- 費用
- ¥220,000(税込)
- 治療内容
- 左下2遠心に垂直性骨吸収が認められたためエムドゲインと骨補填材を用いて歯周組織再生療法を行った
- 治療に伴うリスク
- 歯肉退縮、知覚過敏
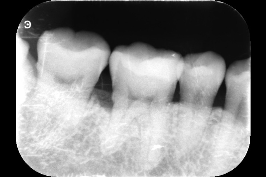
左上奥歯の歯ぐきがむずむずして出血する
【歯周組織再生療法】
- 担当医
- 清水 宏康先生
- 主訴
- 左上奥歯の歯ぐきがむずむずして出血する
- 期間
- 再生療法から再評価まで6か月
- 費用
- ¥220,000(税込)
- 治療内容
- 左上3遠心に垂直性骨吸収が認められたためエムドゲインと骨補填材を用いて歯周組織再生療法を行った
- 治療に伴うリスク
- 歯肉退縮、知覚過敏
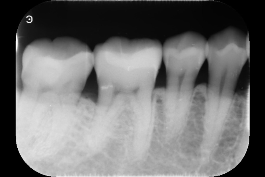
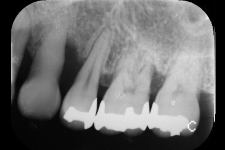
右下奥歯の歯ぐきから出血する
【歯周組織再生療法】
- 担当医
- 清水 宏康先生
- 主訴
- 右下奥歯の歯ぐきから出血する
- 期間
- 再生療法から再評価まで6か月
- 費用
- ¥220,000(税込)
- 治療内容
- 右下4遠心に垂直性骨吸収が認められたためエムドゲインと骨補填材を用いて歯周組織再生療法を行った
- 治療に伴うリスク
- 歯肉退縮、知覚過敏
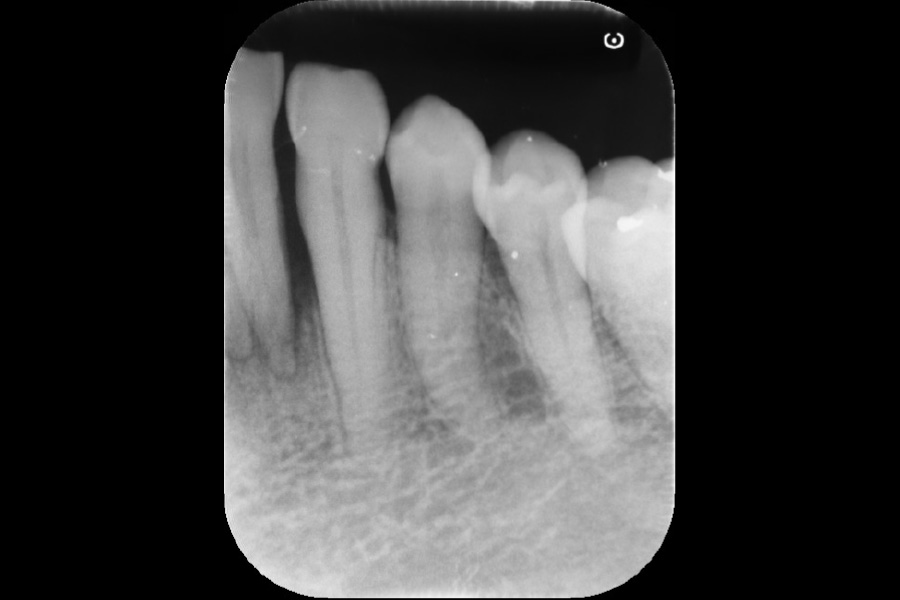
上の前歯の歯ぐきが腫れた
【歯周組織再生療法】
- 担当医
- 清水 宏康先生
- 主訴
- 上の前歯の歯ぐきが腫れた
- 期間
- 再生療法から再評価まで6か月
- 費用
- ¥220,000(税込)
- 治療内容
- 左上3近心に垂直性骨吸収が認められたためエムドゲインと骨補填材を用いて歯周組織再生療法を行った
- 治療に伴うリスク
- 歯肉退縮、知覚過敏
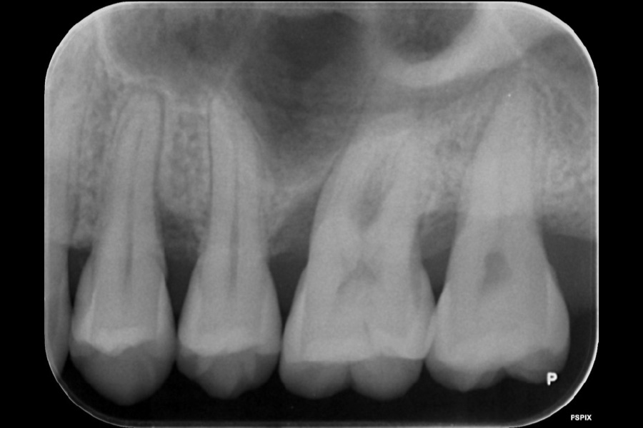
右上奥歯全体から出血する
【歯周組織再生療法】
- 担当医
- 清水 宏康先生
- 主訴
- 右上奥歯全体から出血する
- 期間
- 再生療法から再評価まで6か月
- 費用
- ¥220,000(税込)
- 治療内容
- 右上3遠心に垂直性骨吸収が認められたためエムドゲインと骨補填材を用いて歯周組織再生療法を行った
- 治療に伴うリスク
- 歯肉退縮、知覚過敏
左上奥歯の歯ぐきがむずむずして出血する
【歯周組織再生療法】
- 担当医
- 清水 宏康先生
- 主訴
- 左上奥歯の歯ぐきがむずむずして出血する
- 期間
- 再生療法から再評価まで6か月
- 費用
- ¥220,000(税込)
- 治療内容
- 左上6近遠心に垂直性骨吸収が認められたためエムドゲインと骨補填材を用いて歯周組織再生療法を行った
- 治療に伴うリスク
- 歯肉退縮、知覚過敏
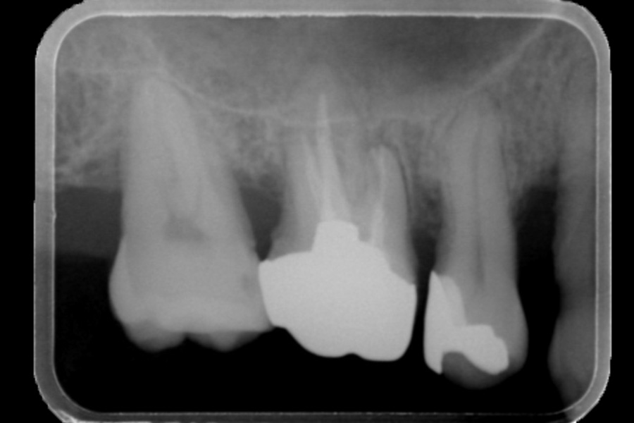
左上奥歯の歯ぐきが腫れて、噛むと痛い
【歯周組織再生療法】
- 担当医
- 清水 宏康先生
- 主訴
- 左上奥歯の歯ぐきが腫れて、噛むと痛い
- 期間
- 再生療法から再評価まで6か月
- 費用
- ¥220,000(税込)
- 治療内容
- 左上4遠心と左上6近心に垂直性骨吸収が認められたためエムドゲインと骨補填材を用いて歯周組織再生療法を行った
- 治療に伴うリスク
- 歯肉退縮、知覚過敏
右下奥歯の歯ぐきから出血する
【歯周組織再生療法】
- 担当医
- 清水 宏康先生
- 主訴
- 右下奥歯の歯ぐきから出血する
- 期間
- 再生療法から再評価まで6か月
- 費用
- ¥220,000(税込)
- 治療内容
- 右下6遠心に垂直性骨吸収が認められたためエムドゲインと骨補填材を用いて歯周組織再生療法を行った
- 治療に伴うリスク
- 歯肉退縮、知覚過敏
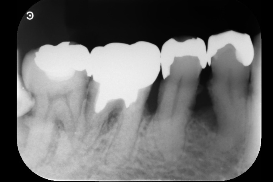
左下奥歯の歯ぐきから出血する
【歯周組織再生療法】
- 担当医
- 清水 宏康先生
- 主訴
- 左下奥歯の歯ぐきから出血する
- 期間
- 再生療法から再評価まで6か月
- 費用
- ¥220,000(税込)
- 治療内容
- 左下6遠心に縁下歯石と垂直性骨吸収が認められたためエムドゲインと骨補填材を用いて歯周組織再生療法を行った
- 治療に伴うリスク
- 歯肉退縮、知覚過敏
左下の犬歯の歯茎が腫れた、出血する
【歯周組織再生療法】
- 担当医
- 清水 宏康先生
- 主訴
- 左下の犬歯の歯茎が腫れた、出血する
- 期間
- 再生療法から再評価まで6か月
- 費用
- ¥220,000(税込)
- 治療内容
- 左下3遠心に垂直性骨吸収が認められたためエムドゲインと骨補填材を用いて歯周組織再生療法を行った
- 治療に伴うリスク
- 歯肉退縮、知覚過敏
- 初診の方の
ご予約・お問い合わせ
- 歯周病相談の
ご予約